Teléfonos: 1234-5678 / 1234-5678
Correo electrónico: info@cirugiapediatrica.com.gt
    • Inicio
    • ¿Quiénes Somos?
    • Cirujanos Pediátras
      • Dr. Arnoldo López
      • Dra. Carla Ramírez
      • Dr. Nombre Apellido
      • Dr. Pedro Salazar
      • Dr. Javier Alvizures
      • Dr. Javier Bolaños
      • Dr. Erwin Hernández
      • Dr. Raúl Sosa
    • Cirugías Frecuentes
    • Cuidados
    • Clínicas
    Close
    • Inicio
    • Cirujanos Pediátras
      • Dr. Arnoldo López
      • Dra. Carla Ramírez
      • Dr. Nombre Apellido
      • Dr. Pedro Salazar
      • Dr. Javier Alvizures
      • Dr. Javier Bolaños
      • Dr. Erwin Hernández
      • Dr. Raúl Sosa
    • Cirugías Frecuentes
    • Cuidados
    • Clínicas
    Ln - Sb: 8:00am - 9:00pm Sn: Cerrado

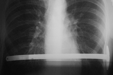
    Pectus Excavatum

    Inicio Adolescentes
    Nos permitimos presentarnos como un grupo de Especialistas en Cirugía Pediátrica con una amplia trayectoria y experiencia en el tratamiento las diferentes patologías quirúrgicas de los niños.
    Si su hijo o familiar necesita de una Cirugía, solicite siempre que sea evaluado por alguien experimentado y que tenga la capacidad y el respaldo académico para poder tomar la mejor decisión. Solicite que sea evaluado por un Cirujano Pediátrico Certificado
    Cirugías Frecuentes
    Neo Natal y Lactante
    Infantil y Escolar
    Adolescentes
    Escríbanos
    Desarrollado por Creativa 2019.